矯正歯科
見えない矯正
見えない矯正治療とは
欧米を含めた世界各国では、矯正治療は「常識」または「ステータス」と考えられ、 見せる矯正治療も多く行われています。
近年は日本でも、矯正治療はポジティブに受け入れられるようになったものの、 従来の矯正装置は恥ずかしいと二の足を踏まれる方がおられることも事実で、 見えない矯正装置や目立たない矯正装置で美しく、 他人に気づかれずに行える矯正治療が人気を集めています。
マウスピース矯正
取り外して食事や歯磨きができる装置です。
- クリアライナー
- インビザライン など
インビザライン
●インビザラインとは・・・
- 取り外せる透明なマウスピースで治療が出来ます。
- 3次元シミュレーションソフトで個別の治療方針を立案します。
- 一日20時間以上使用し、歯を移動させます。
- 週間毎に新しい装置と取り替えます。
- これまでに全世界で70万名を超える人が治療を受けています(2007年12月末現在)。


●インビザラインのメリット
- 取り外し可能なため、お食事がしやすく、虫歯になりにくいです。
- 矯正装置の装着による不快感が軽減されます。
- クリンチェックが表示する3Dアニメーション動画を通じ、患者自身も計画された歯牙移動を事前に見ることができ、治療に対するモチベーション向上につながります。


症例・改善例のご紹介
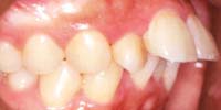
叢生(乱ぐい歯・八重歯)
歯並びがでこぼこしている
歯が前後左右に重なっている場合、歯を磨いてもブラシがきちんと届かず 汚れが残りやすいため、虫歯や歯肉炎の原因になります。
【症 例】

治療前


治療後
▲治療前
▲治療後
開咬(オープンバイト)
奥歯は噛み合うが、前歯が噛み合わない。
前歯で食べ物を噛み切るのが難しい、正しい発音がしにくいなどの問題が発生。 指しゃぶり、舌を突き出す、鼻炎などによる口呼吸が原因と考えられています。
【症 例】

治療前


治療後
▲治療前
▲治療後
上顎前突(出っ歯)
前の歯が、極端に前へ突き出している。
歯を折りやすいなど外傷にもつながり見た目も気になるケース。 遺伝の他、指しゃぶり、下唇を噛む、鼻炎などによる口呼吸が原因と考えられています。
【症 例】

治療前


治療後
▲治療前
▲治療後
下顎前突(受け口)
下の歯が、上の歯より外側にある。
受け口は、下顎が大きすぎる、上顎が小さい等が原因として上げられます。下顎前突の症状の目立つ方は、手術(外科的矯正)によって治療することも可能です。
【症 例】

治療前


治療後
▲治療前
▲治療後
正中離開
前歯の歯と歯の間が空いている。
顎の大きさに対して歯のサイズが小さいことや、 先天的に歯の本数が足りないことなどが、原因に上げられます。
【症 例】

治療前


治療後
▲治療前
▲治療後
上下顎前突
上の前歯、下の前歯共に前に出ている。
骨格的に上あご、下あごが前に出てしまっている、上下の前歯が前に反ってしまっている等さまざまな原因があります。
【症 例】

治療前


治療後
▲治療前
▲治療後


